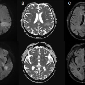
Fatal brain infection was thought to be from profound immune suppression. Not anymore…
Read More
You’re likely already infected with a brain-eating virus you’ve never heard of
Related Posts
Company
Subscribe to Updates
Get the latest creative news from FooBar about art, design and business.
© 2025 Europe News.


