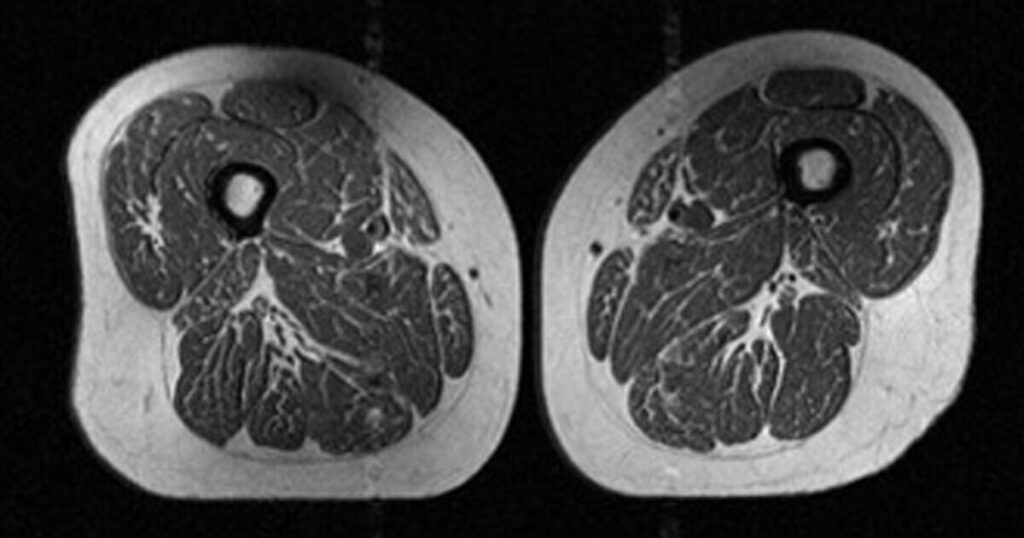
X-ray photographs of a woman’s thigh published in a newly released study show how ultra-processed foods negatively impact the body.

A report in the RSNA Journal reveals how ultra-processed foods impact the human body (Image: RSNA Journal)
A new study linked the consumption of ultra-processed foods to developing excess intramuscular fat, especially on the thighs.
Scientists found that consuming large amounts of ultra-processed foods increases muscle fat levels, according to a study published in Radiology. Harvard Medical School defines ultra-processed foods as the addition of sugar, salt, fat, oil and other substances, including artificial colors, preservatives or stabilizers, that often alter flavor and increase shelf-life. These foods range from chips, cookies and cold cuts to frozen meals to soft drinks and more.
The U.S. Food and Drug Administration consists of ultra-processed foods, and children, on average, consume more than half (60%) of their calories from them.
- 70% of common baby foods are full of additives in alarming tests
- ‘Healthy’ ultra-processed foods that may be contributing to weight gain
Numerous studies have linked ultra-processed food consumption to increased risk of obesity, diabetes, heart and chronic diseases and even cancer.
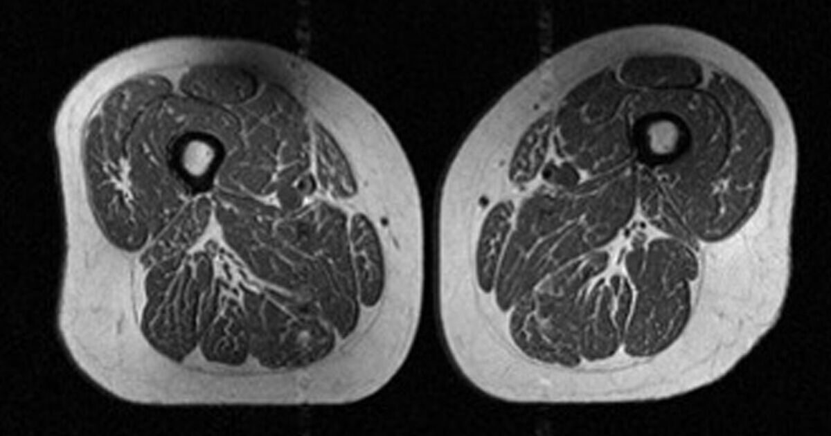
The findings of the Radiology study applied to all muscle groups, including the hamstrings, quadriceps and inner thighs, as well as belly size, also called the abdominal circumference, for both men and women.

Foods such as chips, candy and soda are often ultra processed (Image: Getty)
However, the most impacted muscle was the inner thighs, also called adductors, followed by the hamstrings, also called flexors, the study found.
The authors published X-ray photographs of a 62-year-old woman’s leg used for research purposes, providing a visual aid of how ultra-processed food consumption manifests in the body.
Researchers revealed that 87% of the woman’s diet consisted of ultra-processed foods, including cold cereals, chocolate candy bars and soda, and that she participates in moderate amounts of exercise.
However, the high levels of ultra-processed foods in her body still led to a “marbling” effect, where fat accumulates and replaces healthy muscle tissue with weaker ones.
Latest royal news from the Daily Express plus selected offers and competitions Invalid email
You agree you are 18 or over. We use your sign-up to provide content in ways you’ve consented to and improve our understanding of you. This may include adverts from us and third parties based on our knowledge of you. Unsubscribe at any time. More info.
The increased fat accumulation puts her and thousands of others like her at greater risk of metabolic disease, while also making daily tasks more difficult, which could ultimately lead to a more sedentary lifestyle.
Trending
The marbling effect explains what happens to those diagnosed with myosteatosis, a condition where fat builds in muscle fibers.
The condition is considered a leading factor in muscle aging and metabolic dysfunction, putting people at greater risk for insulin resistance and mobility issues, while also facing higher mortality rates.
The issue of ultra-processed foods remains a top concern for U.S. Health and Human Services Secretary Robert F. Kennedy Jr. as he carries out his Make America Healthy Again agenda.
An HHS assessment report published last year identified the rising presence of ultra-processed foods as a major detriment to children’s health.
“The American diet has shifted dramatically toward ultra-processed foods (UPFs), leading to nutrient depletion, increased caloric intake, and exposure to harmful additives. Nearly 70% of children’s calories now come from UPFs, contributing to obesity, diabetes, and other chronic conditions,” the report states.
